45歲的李小姐,面露尷尬的說:「醫師,最近我周遭的人都說我口氣不好,牙齦又常常出血,應該是火氣大,你看能不能開個藥給我吃?」翻開病歷發現,有多年的糖尿病,但血糖值常常過高,口腔衛生不佳,牙齦紅腫發炎,甚至有部分牙齒鬆動,一看就是嚴重的牙周病。
105年衛福部統計國人死因排名,糖尿病晉升前五名,台灣人罹患糖尿病的比例在亞洲一直是名列前茅。糖尿病與牙周病都屬於慢性的疾病,初期症狀不明顯,等感覺到不舒服往往已經相當嚴重了,但很多人不知道的是,糖尿病與牙周病是會互相影響的。
研究顯示,當血糖過高的時候會產生大量血糖最終產物(AGEs),促使氧化壓力與發炎反應的增加,細胞自我修護的能力減弱,這時如果口腔衛生不佳,甚至已經有牙周病,細菌趁虛而入,會使得牙周發炎更嚴重。嚴重的牙周病也會加重糖尿病,根據歐洲牙周病學會以及糖尿病學會2017年所發表的臨床指南,當糖尿病患者同時有牙周病:
●糖化血色素會升高,經過牙周病治療可以有效降低糖化血色素
●糖尿病足潰瘍機率越高
●心血管疾病機率越高
●視網膜病變機率越高
所以當你發現自己有糖尿病時,也要同時至牙科門診檢查,雙軌並行維護你的健康!
自我診斷牙周病小秘訣:
1.牙齦紅腫刷牙易出血
2.牙齦萎縮
3.牙齒縫隙變大
4.牙齒動搖
5.口臭

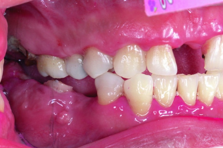
血糖控制不良,會加重牙周病, 沒有妥善治療牙周病,也會影響血糖,造成惡性循環。(圖片來源/新光醫院提供)

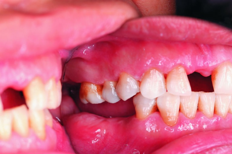
經過牙周治療,牙周組織恢復健康(圖片來源/新光醫院提供)

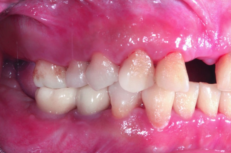
缺牙區以植牙重建功能,只要血糖穩定牙周健康,可以達到與一般人接近的植牙成功率(圖片來源/新光醫院提供)
原文作者為新光醫院 牙科部牙周病科 黃姿菱醫師,本文轉載自第320期《新光醫訊》