63歲的李阿姨雖然已經進入花甲之年,但保養得宜,所以看起來仍像40多歲的輕熟女。注重養生的她,對日常飲食特別講究,盡量少油少鹽,並且大都選擇天然未加工的食材。一次與友人出遊,登上觀景台以望遠鏡看遠方時,突然發現自己左眼看出去的景色竟然是扭曲變形的,嚇得她趕緊至眼科診所檢查,這才知道自己是患有俗稱「眼睛皺紋」的黃斑皺摺,所幸在接受手術之後,扭曲變形的狀況已經大幅改善。
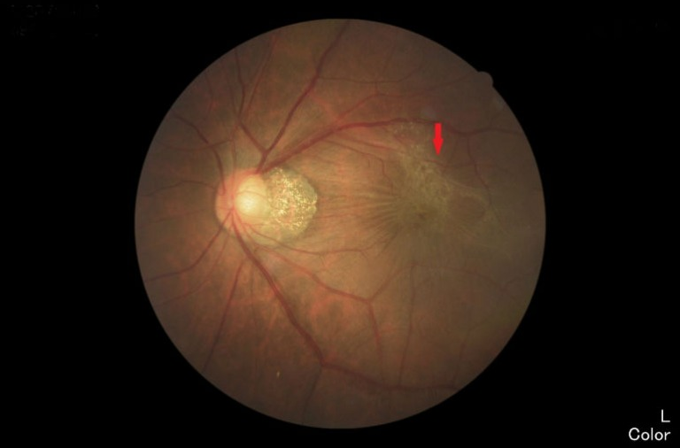
黃斑皺摺是指眼底視網膜的黃斑部,因為纖維增生膜的拉扯,造成黃斑部扭曲變形,進而影響視力(圖一)。大部分的患者為單眼,但也可能雙眼發生。由於黃斑部提供我們主要的中間視力,所以患有黃斑皺摺可能造成視力下降,看東西扭曲變形,或是感覺東西看起來比實際大的情形。黃斑皺摺的成因大多為年紀漸長的退化過程,常合併有飛蚊症。過往若是接受過眼內手術(例如視網膜剝離),曾有葡萄膜炎病史,或糖尿病合併視網膜病變的患者,同樣是黃斑皺摺的好發族群。
雖然黃斑皺摺可能影響視力,但大多數的患者不需要治療,且終其一生不會惡化。拜眼科檢查儀器發展的突飛猛進,利用光學同調斷層掃描儀(OCT;Optical Coherence Tomography)不但可以幫助眼科醫師更快更精準的診斷黃斑皺摺,也可以讓患者在非侵入性的狀況下重複追蹤檢查,且不需忍受散瞳所帶來的不便(圖二)。
一旦黃斑皺摺造成視力受損,矯正視力小於零點五,或影像扭曲變形影響日常生活,可以在醫師專業的建議下接受手術治療。目前黃斑皺摺的治療,主要是以玻璃體切除手術合併纖維增生膜剝除,改善黃斑部扭曲變形的狀況。如果黃斑部扭曲變形較為嚴重,醫師會在手術後將特殊氣體灌入眼內,請患者俯臥利用氣體的力量幫助黃斑部平整復位。
現今玻璃體切除手術以微創為主流,並納入健保給付,術後的傷口小回復快且不需縫線,大大減少患者的不適感,有需要的患者可以尋求視網膜專科醫師的評估。


原文作者為新光醫院 眼科 王元聖醫師,本文轉載自第321期《新光醫訊》