75歲王老先生身體相當硬朗,除了高血壓有規則用藥之外,平日並無其他不舒服情形。然而最近一周,常常在運動時暈倒,送到急診室聽診發現心臟有收縮期的高頻雜音,在做了心臟超音波之後,原來是心臟的主動脈瓣膜嚴重狹窄。
這些主動脈瓣因為嚴重鈣化而無法順利打開,導致心臟收縮時無法將血液輸送到全身,腦部因此灌流不足,所以才會不斷發生暈倒的情況。主動脈鈣化導致的狹窄,好發於65歲以上的老年人,尤其是患有高血壓、高血脂、或是慢性腎功能不全與洗腎患者,因此有些患者也會合併有冠狀動脈心臟病。
主動脈瓣膜狹窄的早期通常沒有明顯症狀,但當進展到疾病的晚期,例如瓣膜開口面積小於1平方公分,就會開始有胸痛、昏倒暈厥、呼吸困難(即心臟衰竭)的症狀產生。當有上述症狀時,就必須盡快諮詢心臟專科醫師,因為一旦開始有了症狀,代表預後較差。
傳統主動脈狹窄的治療,是開刀接受瓣膜置換手術;然而有不少患者,因為手術風險較高(如年紀大、肺部疾病等多重因素),身體無法承受這樣大的手術。幸好目前有另一項選擇:經導管主動脈瓣膜置放術。
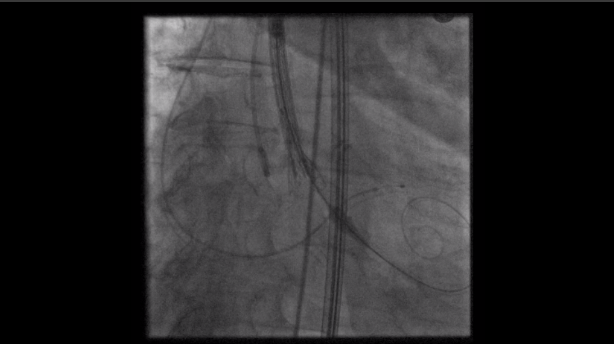
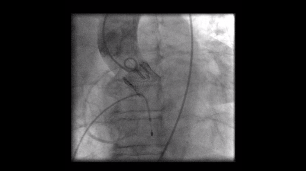
我們會於鼠蹊部動脈,置入導絲與導管,然後沿著導絲將合適患者大小的新瓣膜放入,再取出氣球、導管與導絲,最後檢查患者股動脈與觀察術後生命徵象。整個手術時間約1小時,傷口約3cm,住院時間也約3到4天。
在一些合適的病友,甚至能在局部麻醉之下,即可接受主動脈瓣膜的置放。本項技術皆於本院新建之整合型手術室(hybrid operation room)進行,且與歐美同步使用最新之Philips Epiq 3D重組影像來輔助心導管瓣膜手術的置放。這項手術需要心臟內、外科的團隊通力合作,術前仔細的評估與術後密切的追蹤。



使用最新一代Evolut Pro瓣膜置放之後,病友會有較佳的預後
醫師小檔案_王子林
學經歷:
歐洲心臟學院院士、國立陽明大學急重症醫學研究所、英國牛津大學心臟醫學中心合約醫師,並於2015年接受牛津大學為期一年的心導管進修訓練、新光醫院心臟內科主治醫師
專科資格:
美國心臟超音波醫師會員
歐洲心血管影像超音波醫師會員
中華民國心臟科專科醫師
台灣心導管介入學會專科醫師專長: 胸悶、胸痛、喘、頭暈、暈厥、水腫、高血壓、糖尿病、高血脂、心臟衰竭、四肢無力
原文作者為新光醫院心臟內科 王子林醫師,本文轉載自第324期《新光醫訊》