肺癌為癌症死因的第一位,近年來越來越多民眾在健康檢查選擇低劑量胸部電腦斷層,發現許多胸部X光所無法偵測到的細微肺部病灶,因而引起緊張與焦慮。當病患出現肺結節(小於三公分的腫塊)病灶時,醫師通常會採取下列幾種處理方式:(1)切除病灶(2)切片檢查(3)定期追蹤。
精緻止痛「復健微創手術」切除病灶
在發現肺結節後,醫師詢問病史、身體評估與術前心肺功能評估,並安排全身骨骼掃描、腦部電腦斷層等檢查,以排除遠處轉移之可能性。
在手術2週前由復健科團隊安排術前呼吸咳痰訓練,術後即進行一對一床邊胸腔復健;由麻醉科團隊進行術前藥物負荷劑量止痛、術中肋間神經阻斷止痛、術後自控式止痛;胸腔外科醫師採取單孔胸腔內視鏡或達文西機器手臂之微創手術,在放射科團隊以特殊染料施行電腦斷層定位的幫助下,先做精準地局部切片,再依據病理科醫師即時切片報告的惡性程度,來進行楔狀切除、肺節切除、肺全葉切除及根除性淋巴結清除手術。
精準電腦斷層「3D立體定位」引導下經皮細針穿刺切片檢查
若是病人不願意或身體不適合接受手術,為了得到正確病理診斷以接受後續的治療,本院放射診斷科介入性治療團隊可以在病人意識清醒且自發性呼吸的狀況及局部麻醉下,利用精準的電腦斷層3D定位引導,完成經皮細針穿刺切片檢查。
本院胸腔內科團隊將引進超音波探頭支氣管鏡3D立體導航定位儀器,可以針對較中央且鄰近血管及支氣管之結節進行切片。
「精密640」切低劑量輻射胸部電腦斷層定期追蹤
由於低劑量輻射胸部電腦斷層可以偵測到0.2公分大小的病灶,然而並非所有的肺結節都是惡性腫瘤,也可能是肺部感染留下的疤痕或纖維化等良性組織。這些微小的肺結節在診斷預後上造成困難,因此醫師常會建議以電腦斷層追蹤,追蹤之間隔則需視肺結節的大小、質地、形狀、有無鈣化而定。
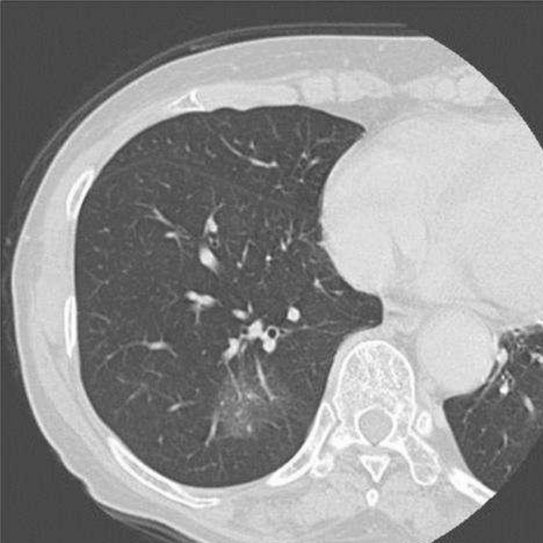
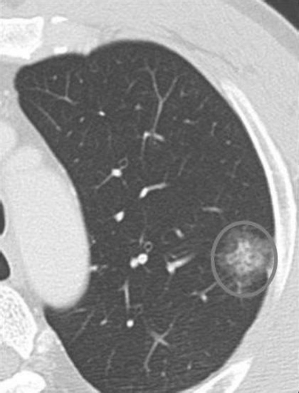
肺結節的質地可分為純毛玻璃狀、部分實質性、完全實質性。純毛玻璃狀病灶很有可能是原位肺腺癌或是癌症前期病灶-非典型腺瘤增生。
若肺結節為純毛玻璃狀且大於0.8公分,或是為部分/完全實質性,則會建議手術切除;若小於0.8公分的純毛玻璃狀病灶,則建議3個月後再追蹤電腦斷層,2次追蹤後病灶若無縮小情況,則考慮手術。若小於0.5公分的純毛玻璃狀病灶,則半年後再追蹤電腦斷層,無明顯變化再拉長追蹤期間。若追蹤期間出現實質化之變化,則建議手術切除。
A.純毛玻璃狀肺結節

B. 部分實質性毛玻璃狀肺結節

醫師小檔案_王孔民
現任:新光醫院胸腔外科主治醫師
學經歷:高雄醫學大學學士後醫學系、臺北市立萬芳醫學中心胸腔外科主任、和信治癌中心醫院胸腔外科研究醫師、台灣胸腔暨重症加護醫學會胸腔暨重症專科醫師
專長:微創胸腔鏡手術、肺部腫瘤(肺癌、肺結節)、縱膈腔腫瘤、食道疾病(食道腫瘤.食道功能性疾病)
原文作者為新光醫院胸腔外科 王孔民醫師,本文轉載自第326期《新光醫訊》