每3秒就有1人罹患失智症...是記憶力不好還是失智?醫:「這個檢查」能早期發現

醫療保健

全球失智人口增加,依據國際失智症協會(ADI)2019年全球失智症報告,估計全球有超過5千萬名失智者,到2050年預計將成長至1億5,200萬人,每3秒就有1人罹患「失智症」。

根據內政部最新人口統計資料截至2019年底,65歲以上老年人口數已高達360萬人,佔全台人口總數的15.3%,如同2個台南市人口數,預計5年內會邁入「超高齡社會」。人口結構快速老化,加上許多慢性疾病的盛行,將造成社會經濟沉重的負擔,而年齡的增長是失智症的關鍵風險之一。

台北醫學大學公共衛生學系教授邱弘毅曾指出,根據流行病學研究中顯示,輕度認知功能障礙是失智症的高危險群,約有33%在5年內會發展成失智症,但對比一般同年齡群只有3%。

根據衛福部民國100年委託台灣失智症協會進行之失智症流行病學調查結果,以2019年底人口統計資料估算,有近2成的65歲以上老人患有輕度認知功能障礙,等於台灣每5位老人就有1位有失智風險。

高齡社會來臨,全球每3秒即有1人罹患失智症,調查顯示近8成台灣民眾擔心自己未來可能罹患失智症,且每4人即有1人認為失智症無法預防,如何預防失智症是現代社會面臨的課題。不過究竟要如何判斷是記憶力不好的正常老化,還是失智症呢?

失智症早期症狀與老化類似,如何區分?

常覺得老是忘東忘西?也常聽到家中老人家抱怨自己記憶力差、常常忘記事情,隨著年齡增長,只是因為老化記憶力變差?還是自己已經得了失智症?

北投健康管理醫院影像醫學部放射科主任沈彥君先指出,初步簡單判斷來說,「老化」是指可能突然忘記某事,但事後會想起來;「失智」則是對於自己說過的話、做過的事完全忘記。

沈彥君解釋,失智症是一種疾病,不是正常的老化現象。「很多人常說老了容易老番癲、同樣問題重複問很多遍、走路不穩、重複地無法解釋的跌倒現象,以為人老了都是這樣,就很容易忽略了很有可能是失智症的表現。」

在失智症的分類上,可分為:

1. 神經退化性(包括阿茲海默症、額顳葉失智症、路易體失智症等)

2. 血管性(常與中風相關)

3. 續發性(因為其他原因造成失智症狀,包括酒精成癮、維他命B12或葉酸缺乏、頭部創傷、梅毒、甲狀腺功能低下、硬腦膜下出血、腦部腫瘤等)。

失智症早期的症狀與老化十分類似,例如記憶變差、說話會中斷或忘記詞彙、比較難回想事情等,還會與其他疾病症狀雷同,例如憂鬱症,而且症狀可能單一,也可能同時出現,因此並不容易診斷。

導致失智症的4大危險因子

70歲的陳姓阿嬤,近期與家人互動時,偶爾會出現忘記近期說過的話,也不時出現跌倒的狀況,「透過腦部磁振造影檢查(MRI),發現大腦海馬迴有萎縮現象,側腦室空間有也明顯擴大,後續經專科醫師確診為早期失智症。」沈彥君指出。

那麼導致失智症的危險因子有哪些?沈彥君指出包括:

1. 家族病史

2. 高齡

3. 女性

4. 患有其他疾病(如糖尿病、頭部外傷、唐氏症)

沈彥君表示,失智症的成因相當複雜多元,以最常見的阿茲海默症為例,可發現患者大腦中有類澱粉蛋白的異常沉積影響了腦部功能,以及腦部萎縮(特別是掌管記憶的海馬迴),「少部分的失智症可能與腦部腫瘤、常壓性水腦、腦創傷、顱內出血等相關。」沈彥君指出,這些狀況大都可藉由腦部影像呈現,因此影像檢查在失智症的診斷,扮演相當重要的角色。

沈彥君指出,所有失智症中,以阿茲海默症最為常見,佔6成以上,其次是與腦中風相關的血管性失智症,約佔1成,只有少於5%失智症為可逆性。「中風」也是血管性失智症與阿茲海默症的危險因子,據統計,中風患者如果存活下來,26週內會逐漸恢復功能,然而有1/3的中風患者會伴隨認知功能障礙的現象。

國際研究報告指出,中風病人得到中風後失智症(PSD)的機會約30%;首次發生中風的病患,在一年內發生失智症的比率為7.4% ,而復發性中風後失智症的發生率則高達41.3%,不過目前仍沒有有效的生物標記,足以觀察並確認罹患中風後失智症的風險,以即早控制及治療。

日前國衛院神經及精神醫學研究中心研究員劉玉麗與林口長庚醫院失智症科主治醫師陳怡君合作,分析缺血性中風病患的認知功能狀況及相關生理變化,研究發現,中風後罹患失智症病患血漿中D型胺基酸氧化酶的濃度,較中風後無失智症的病患或健康者顯著的增高。

陳怡君表示,這項研究也許可視為是中風後失智症的獨立標記,未來或可用來預測失智風險,進一步預防失智症的發生,相關研究成果已於2019年10月刊登於國際神經學期刊《Frontiers in Neurology》。

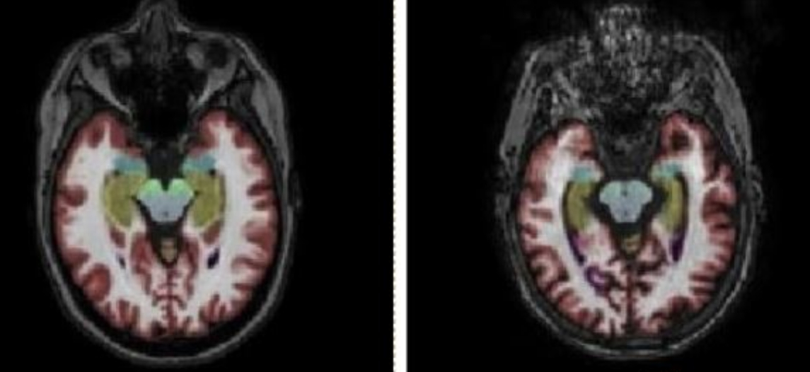
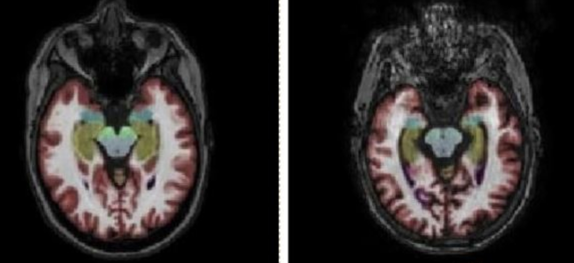
左圖為健康人腦部MRI影像、右圖為失智症患者的腦部MRI影像,可明顯看出失智症患者的腦實質及海馬迴(綠色區域)已明顯萎縮。(圖片來源/沈彥君醫師提供)

研究:「日常3件事」可降低失智風險

失智症是否有機會治癒?

沈彥君表示,目前還沒有任何藥物可以治癒失智症,但可幫助延緩退化的狀況,因此如何降低失智症風險是重要的議題,「及早發現、及早治療,對於病情的掌控效果就會越好。」

國外失智症研究已實證,日常生活控制三高、戒菸、避免心血管疾病可降低失智症風險。沈彥君也提醒民眾,除了避免心血管疾病,也要評估自身與家人的風險因子,並定期安排健康檢查,即時掌握身體狀況、才能做最精準的預防介入。

「若能盡早找出可逆性的失智原因,或早期篩檢出高失智風險者,立即給予治療或介入,便可能改善或延緩失智症狀的發生。」

back to top
navbar logo