假牙材質好多...該怎麼選擇?牙醫師一次解析優劣

醫療保健

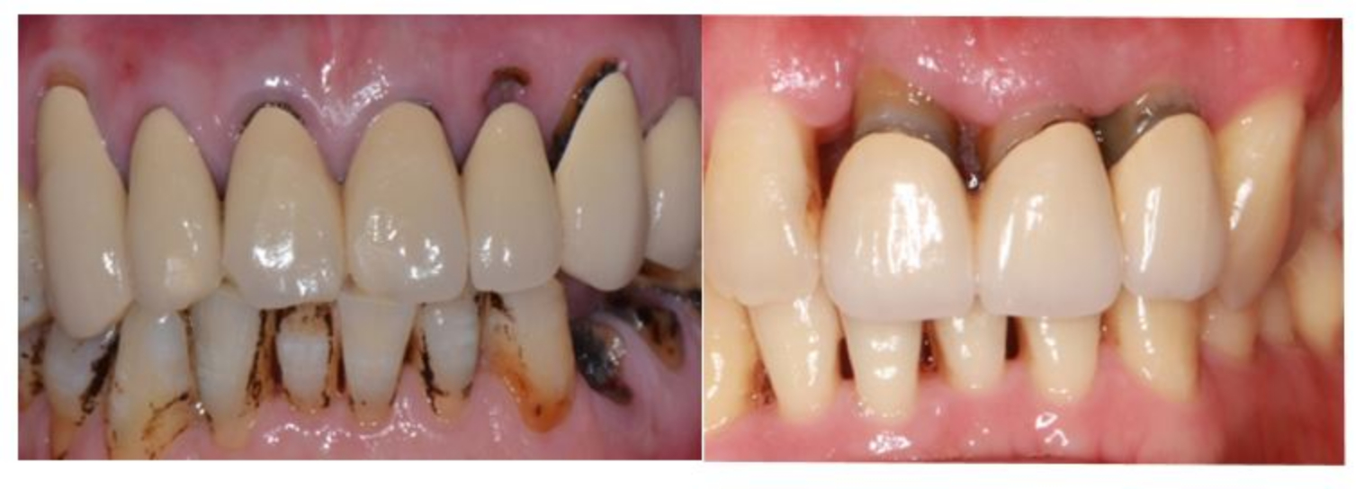
目前市面上固定假牙可供選擇材質很多,傳統金屬陶瓷假牙除了內層金屬層,外層會燒上陶瓷去模擬牙齒顏色,但因金屬層透光性差,顏色常常較為死白不自然,且可能有陶瓷崩裂的風險。

此外,較差的金屬材質也容易因為金屬腐蝕或是內層金屬陰影影響在牙齦與假牙交界的邊緣產生黑邊,尤其是牙齦較薄或是牙齦萎縮後情況會更明顯,而在前牙區顯得不美觀,甚至有些金屬可能會有過敏及致癌的風險。

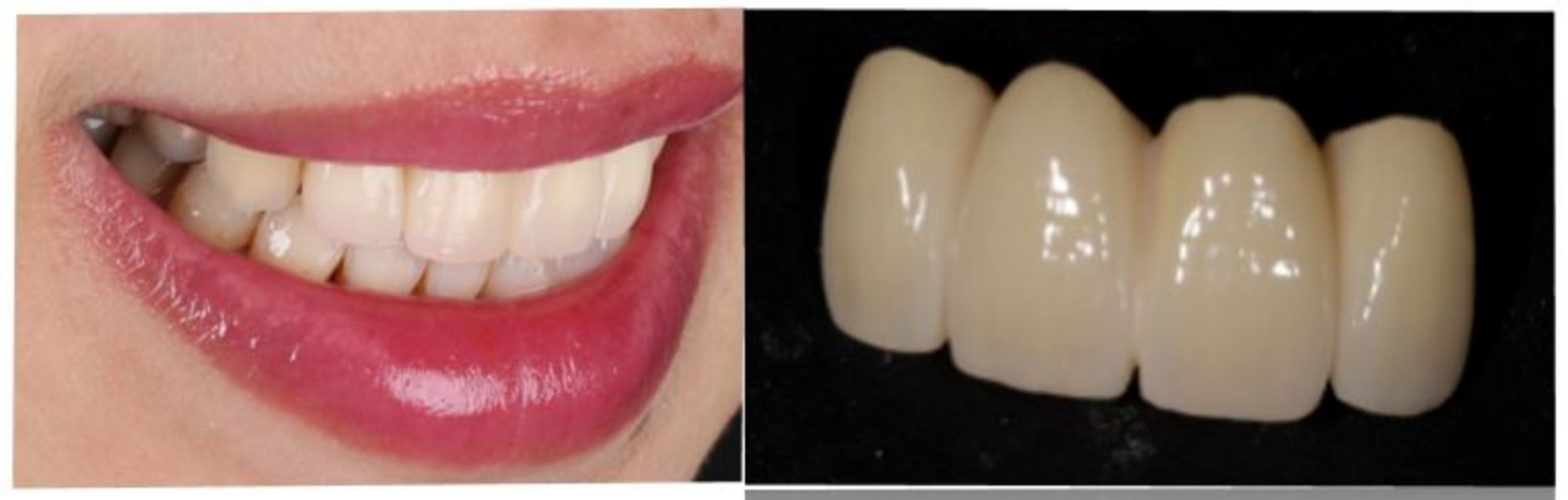
近年來美觀意識抬頭,對於假牙更希望做起來自然仿真,進而導致全瓷冠的發展,因為其透光度與自然牙更為接近,顏色表現上較為美觀,且生物相容性佳,不易有過敏情形。

全瓷冠作為泛稱,包含玻璃陶瓷及氧化鋯,有其各自適應症,臨床上應該根據病患齒質條件,功能及美觀需求來做選擇。

顏色較死白、有黑邊(圖片來源/新光醫院提供)
瓷崩(圖片來源/新光醫院提供)
透光性好、成色自然(圖片來源/新光醫院提供)

原文作者為新光醫院 牙科,本文轉載自第352期《新光醫訊》

back to top
navbar logo