牙周病是牙齒周圍組織因長期細菌堆積,造成牙齦發炎,牙周囊袋加深以及牙周骨質破壞,簡單說就是牙齒周圍的地基流失,進而產生牙齒搖動,嚴重的話甚至導致牙齒脫落。
牙周再生手術即是指重建因牙周病所喪失的齒槽骨、牙骨質與牙周韌帶。臨床上會利用再生膜,放置在牙齦及齒槽骨間,再生膜可以阻擋與隔離生長較快速的牙齦細胞侵入牙根表面與骨缺損內,也可製造並維持出空間讓牙周組織細胞長入,在牙根表面產生新的牙周附連及新生成齒槽骨,達到恢復牙周健康。
再生膜具有良好的生物相容性,較早期使用再生膜為不可吸收性,需於手術後4-6週再次手術將再生膜取出,近年來已發展出可吸收性再生膜,置入後可慢慢被人體代謝,可免除二次手術。除再生膜之外,在骨缺損空間中,會再置入一些骨移植材料以填充骨缺損。

治療前:紅箭頭處可見明顯骨缺損(圖片來源/新光醫院)

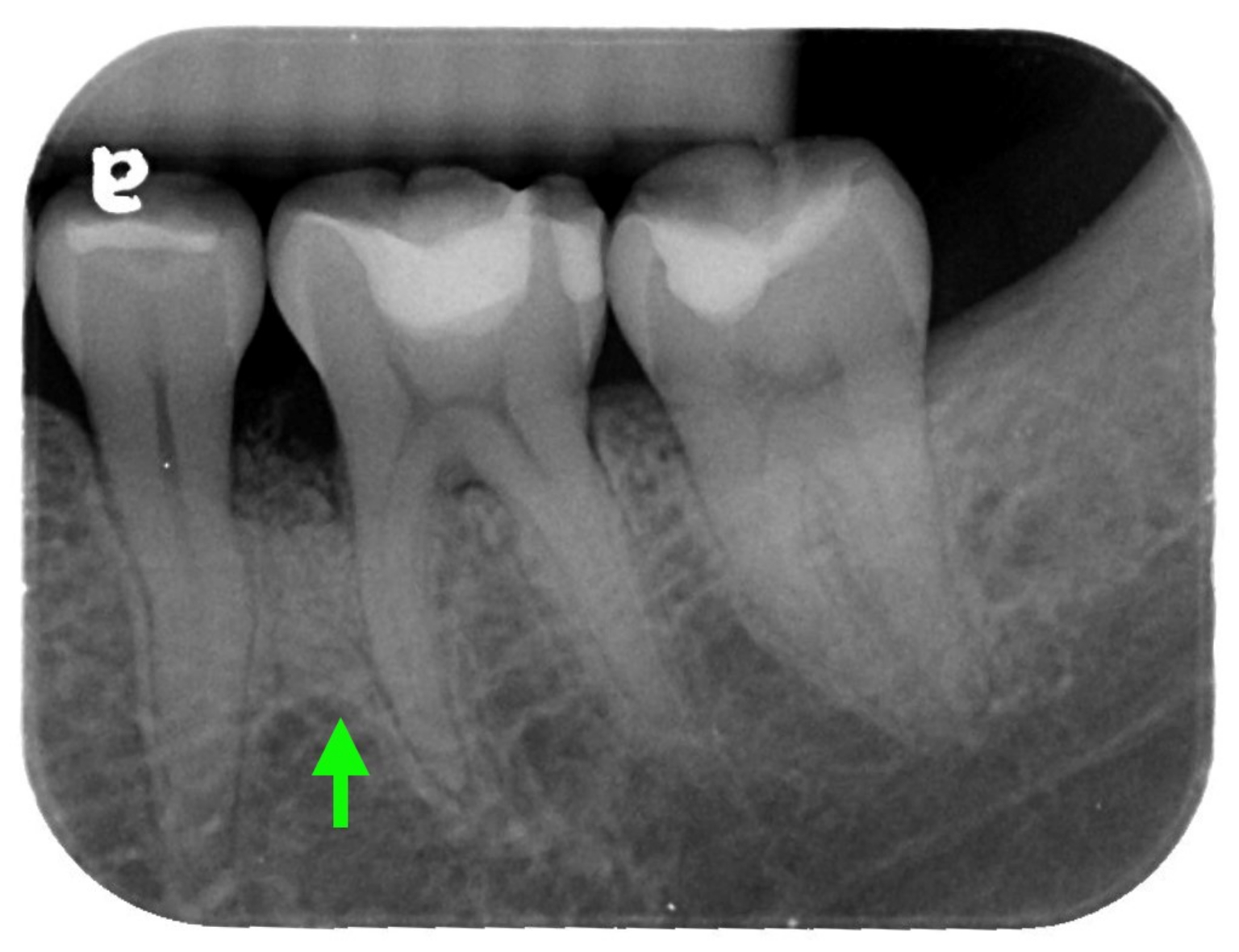
治療後一年追蹤:綠色箭頭處可見骨充填產生(圖片來源/新光醫院)
病患如果要進行牙周再生手術,術前一定需要先進行牙周病第一階段非手術性治療,包含口腔衛生教育、牙結石清除及牙根面整平後再進行評估,因為並非所有患者都適合牙周再生手術,需視牙齒骨缺損範圍的形態、深度與寬度、病患本身口腔清潔維護能力、有無抽菸等因素來進行專業評估,做出最適合的的牙周治療。
原文作者為新光醫院牙科部 李冠翰醫師,本文轉載自第363期《新光醫訊》