有時候可以看到診間來診主訴為牙齦反反覆覆長了一個膿包,較大的時候甚至可以用手擠出一些膿,不過牙齒不會痛,這樣還要抽神經(根管治療)嗎?
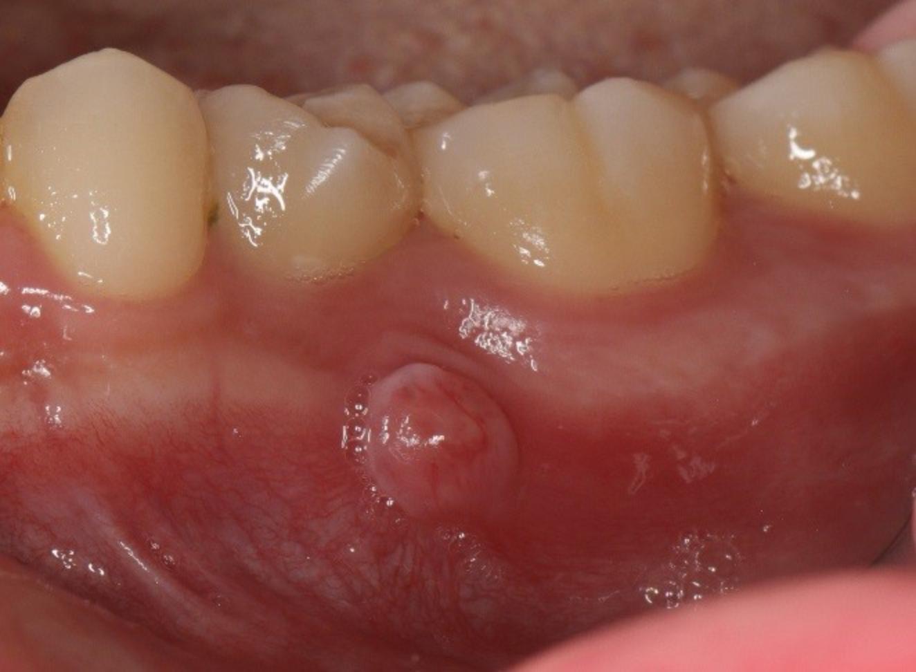
首先要回答這個問題前,要先知道膿包的來源其實有很多,大致可分為牙源性或非牙源性的,與牙齒有關的就包括牙髓發炎或壞死、牙根尖膿腫或囊腫、牙周疾病、智齒或埋伏齒發炎、牙齒創傷或牙齒牙根斷裂等等,非牙源性包括骨髓炎、骨內腫瘤或囊腫、口腔潰瘍或傷口感染、病毒感染、鼻竇感染等等,因此牙醫師會先鑑別診斷是否是牙源性並且是牙髓來源的,有時候也會在成形的膿包插入一支馬來膠針來追蹤感染來源。

牙齦膿包示意圖(圖片來源/新光醫院)
一旦確認是牙髓來源的,一般常見的原因是根尖周圍發炎或膿腫,經由竇管在牙齦產生一個膿液排出的開口,這是一種壓力得以宣洩的方式。在這種情況下如果牙齒剩餘齒質仍足夠並且有一定的成功率和預後時,會建議進行患病牙的根管治療或再治療、牙根尖手術等等。
因為這種發炎有時是一種慢性、漸進式的過程,不一定會有臨床症狀,然而其病灶有可能正在惡化,等到出現疼痛或腫脹時,有些牙齒已經無法再進行治療或是必須花費更多時間和費用來治療,嚴重情況下也有蜂窩性組織炎的風險,因此一旦在口內發現類似的病灶不可過於輕忽,建議至門診尋求進一步協助。
原文作者為新光醫院牙科部 周志威醫師,本文轉載自第374期《新光醫訊》