「醫師,我的牙齦萎縮看起來很醜,這可以治療嗎?」
首先可能要先釐清造成牙齦萎縮的原因,導致牙齦萎縮的原因很多,包含:牙周病、不當的刷牙方式、矯正時牙齒的移動、肌肉或繫帶過度拉扯、牙齦先天薄弱….等等。
牙齦萎縮可能會造成牙齒敏感,對冷、熱食物飲料會反應劇烈;牙縫變大易塞食物不易清潔;牙根容易因刷牙磨耗,若有磨耗牙菌斑容易堆積,進而引發蛀牙、牙齦炎等;如此之外,也會有美觀問題,影響個人信心。
在治療方面,不是所有的牙齦萎縮都需要治療,或是都可以治療,建議門診經由醫師檢查後,了解牙齦萎縮的原因、萎縮的程度、臨床口內狀況,綜合評估後再制定治療計劃。常見牙齦萎縮的手術治療方式是牙根覆蓋手術,局部麻醉下,取部分上顎顎側結締組織移植到牙根裸露的位置,縫合固定後,一個禮拜進行拆線。

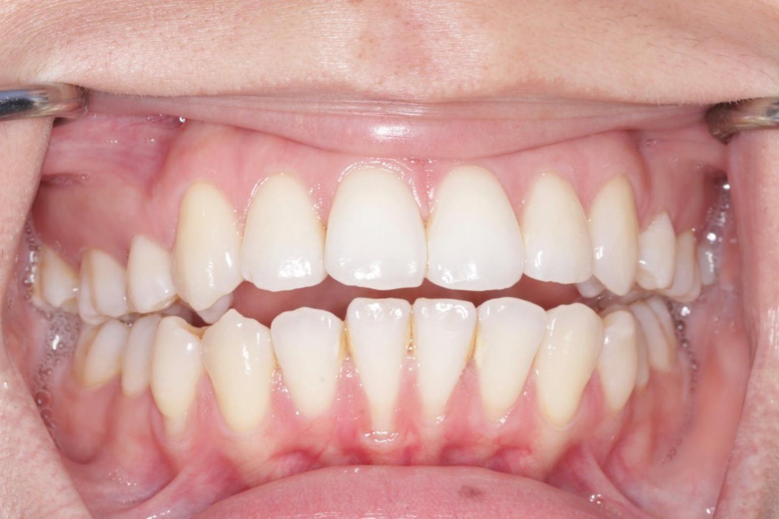
下顎兩側正中門牙及左下側門齒牙齦萎縮(圖片來源/林怡妏醫師提供)

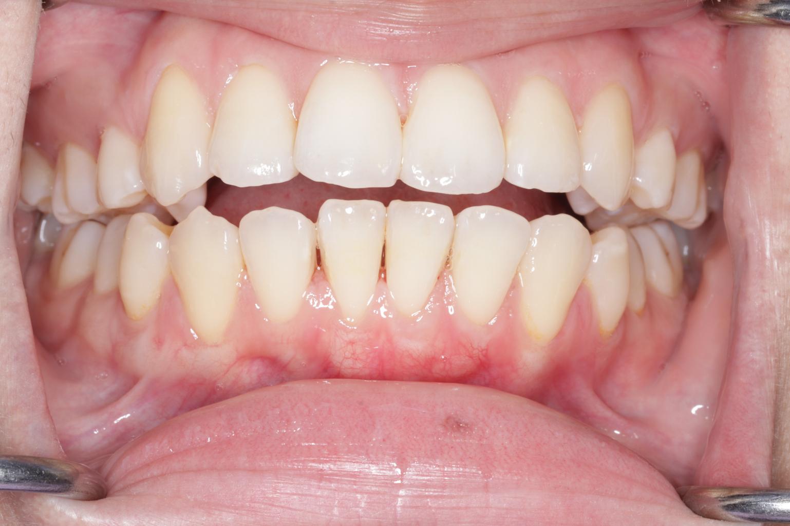
牙根覆蓋術術後半年,牙齦萎縮獲得改善(圖片來源/林怡妏醫師提供)
原文作者為新光醫院牙科部住院醫師林怡妏,本文轉載自第378期《新光醫訊》