牙齒美白方法有哪些?牙醫師解析2大原理及適合方式

醫療保健

擁有一口潔白的牙齒是每個人都所憧憬的,但卻漸漸發現自己的牙齒開始泛黃、黯淡,究竟是什麼原因會造成,而又該如何解決呢?

一般牙齒染色主要分為外因性及內因性2種:

外因性染色

指外來色素吸附在牙齒表面,一般大多飲食習慣、口腔衛生等等有關,像是常飲用茶、咖啡等,或是抽煙、嚼檳榔等習慣,都會造成牙齒變色。

此類變色通常可藉由「美白噴砂」達到立即性的效果。

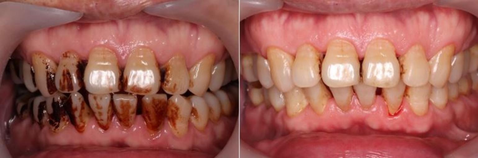
抽菸導致牙齒表面堆積菸垢,經美白噴砂後恢復牙齒顏色。(圖片來源/新光醫院提供,下同)

內因性染色

指色素沉澱於牙齒內部的牙本質上,通常與年齡增長、外傷、藥物、或是先天基因表現有關,此類染色因沉積在牙齒內部,因此必須使用「美白藥劑」才能將牙齒漂白,其中使用藥劑時因常會有牙齒敏感以及牙齦灼燒等副作用,必須遵循醫師指示使用。

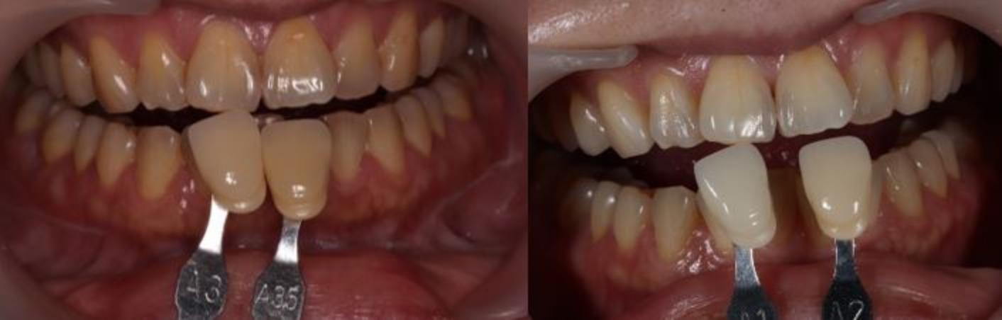
撞擊導致左上正中門牙變色,使用齒內美白恢復牙齒顏色。
先天性牙齒泛黃,經居家美白後使牙齒漂白兩個色階。

原文作者為新光醫院牙科部黃資晟醫師,本文轉載自第381期《新光醫訊》

back to top
navbar logo