一名1歲的小男嬰,在睡覺前突然躁動不安,小孩無法入睡也無法被安撫,所以焦急的媽媽帶著男嬰來急診求助。小孩並沒有發燒,也沒有任何呼吸道、腸胃道症狀,在診間當下的精神狀態也很好,但確實會有間歇性的哭鬧。
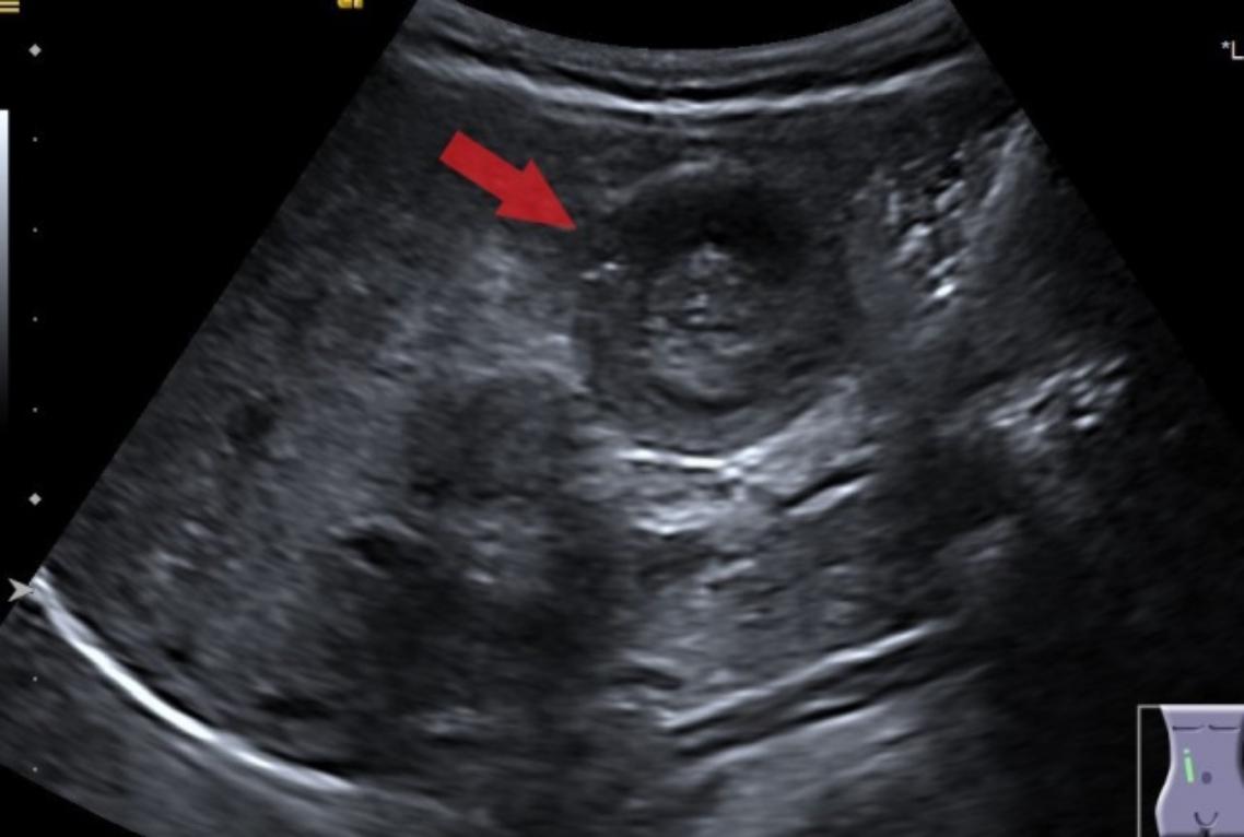
在小兒科急診醫師詳細詢問以及理學檢查後,發現男嬰跟他哥哥在上禮拜都有腺病毒感染的過去病史。細心的醫師為了排除腹部急症的可能性,立即施行腹部超音波,果不其然,在小朋友右上腹出現了腸子套住的超音波影像(圖1),準確診斷為嬰幼兒常見的腹部急症「腸套疊」。
接著在醫師安排下,幾小時後男嬰接受空氣引導的腸套疊復位,過程順利且復位成功,症狀不但順利解除,也免除之後腸穿孔及腹膜炎之可能。
台北市立聯合醫院忠孝院區小兒科主治醫師張育瑞表示,從上面的病例可以看出,是很典型嬰幼童腸套疊發病的過程。何謂腸套疊?是指身體內兩段相近的小腸或大腸,因為淋巴結腫大、腫瘤、孟克爾憩室或大腸息肉等原因,使得兩段腸子套在一起無法正常蠕動進,進而引起病人間歇性腹痛。當腸子套住太久沒有立刻處理,腸子可能破裂並導致腹膜炎。因此腸套疊,是兒科需要立刻處理的腹部急症。
根據統計,腸套疊通常發生在2歲以下的兒童,但大小孩跟青少年也還是有可能發生。其中只有不到3成的腸套疊患者,可以找到腸道構造異常來確切解釋腸子為何套住(如:腫瘤、孟克爾憩室或大腸息肉)。而其他大部分的腸套疊患者,無法找到明顯的構造病因,而這類型的腸套疊,可能跟病毒感染造成的腸壁淋巴結增生有關,其中呼吸道腺病毒(C型)的病例最常被報導。
臨床表現上,腸套疊通常表現為間歇性的劇烈腹痛,伴有雙腿彎曲的用力以及大聲的哭聲,有時也會出現嘔吐和血便。值得注意的是,腸套疊的初期腹痛表現非常「戲劇化」,可能上一分鐘嬰幼兒還在躁動大哭,下一分鐘就在正常玩耍了,再加上2歲以內的小朋友無法清楚表達自己的不舒服,因此腸套疊病發第一時間,病患常被家長誤認為在鬧脾氣或撒嬌。
張育瑞還特別提醒家長,對於已經患有胃腸炎的兒童來說,診斷腸套疊也會特別困難,因為急性腸胃炎也有可間歇性腹痛或者嘔吐。當無法區分急性腸胃炎跟腸套疊時,進一步的影像檢查就相當必要,而超音波檢查是檢測腸套疊的首選方法。在超音波中看到「同心圓」或「甜甜圈」的影像,代表腸內的腸層已經套住並黏膜重疊,才會產生如此影像(圖1)。
.jpg)
確診腸套疊後,該如何處理?
一般情況下,優先考慮「非手術」的腸套疊復位:在超音波或X光的引導下,從病人肛門嘗試灌入空氣、鋇劑或鹽水,利用灌入物體形成的壓力,把套住的腸子撐開,達成腸套疊復位的目標,成功率約為80-95%。但請注意「非手術」的腸套疊復位雖然方便且大致安全,仍有大約10%的腸套疊患者會出現復發,而大多數復發的時間點,發生在復位後72小時內。
如果腸套疊反覆復發,就要懷疑病人有腸構造的異常(如:腫瘤、孟克爾憩室或大腸息肉),這時候就要考慮進一步的檢查,甚至進行「手術」來復位。
除此之外,如太晚診斷出腸套疊,病人已出現疑似腸壞死或穿孔、腹膜炎等併發症,也是直接考慮以「手術」方式來處理。
原文作者為台北市立聯合醫院忠孝院區 小兒科 張育瑞 主治醫師。