韓星金宇彬罹鼻咽癌 醫提醒如出現這四種疾病症狀應小心

醫療保健

27歲的韓星金宇彬日前傳出確診罹患鼻咽癌,目前正在進行治療中,令廣大粉絲心急如焚,藝人罹癌也提醒我們重視疾病癥狀,以早期發現、早期治療。

癌症年輕化 老中青都必須注意

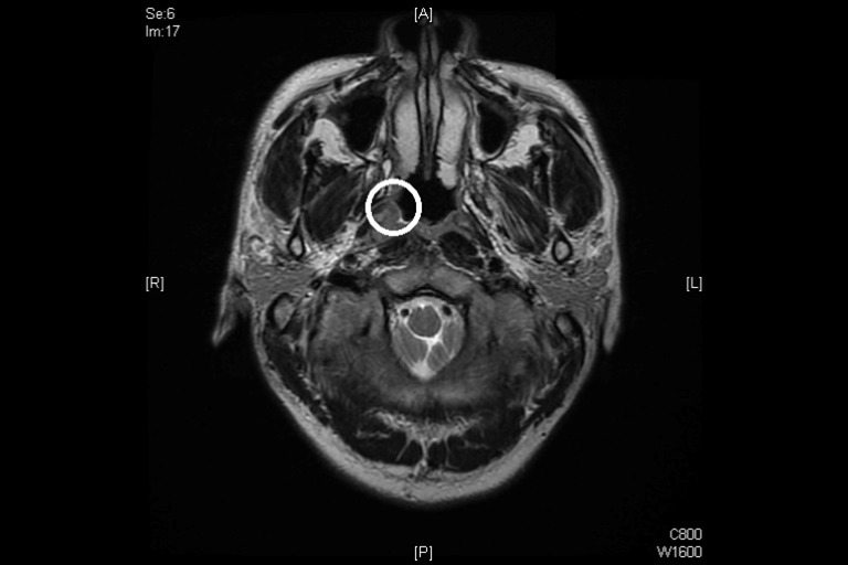
鼻咽癌影像照片(白色圓圈部位)。(圖片來源/彰基體系媒體新聞中心)

彰化基督教醫院耳鼻喉暨頭頸部洪雲聰醫師表示,鼻咽癌一般好發年齡是40~50歲,但無論幾歲皆不可輕忽,因為彰基醫院收治過最年輕的病患僅18歲(男性);他的症狀是鼻涕中帶血絲和慢性鼻塞,經過鼻咽切片檢查後確診為『早期鼻咽癌』,所幸經過放射線治療得以控制,目前持續門診追蹤中,如5年內未復發,即可確定治癒。

洪雲聰醫師日前收治一名30多歲的工程師;依據工程師述說,年輕時偶爾會流鼻血,通常鼻子壓個20分鐘,血就止住了,但此次流鼻血症狀卻持續一週,因此非常警覺的到醫院求診。洪醫師為他進行鼻腔檢查,並未發現異狀,但在鼻咽內視鏡檢查時,卻發現鼻咽右側有兩顆腫瘤,經切片後確認為『鼻咽癌』,核磁共振造影檢查也顯示咽後淋巴結轉移。

得知自己疑似罹患鼻咽癌後,工程師非常緊張、錯愕,不解為何自己不喝酒、不吃檳榔、生活作息正常,卻罹患癌症。第二次就診時工程師與妻子一起前往醫院,妻子甚至擔心落淚,也不斷詢問醫師關於治療方式的建議,甚至不諱言如有自費療法,他們願意不計代價採用。

放射治療成效不錯 治療率高達9成

洪雲聰表示,由於鼻咽部附近的神經血管分布密集,手術有一定的風險且容易切不乾淨。一般而言,放射治療雖然有口乾舌燥、吞嚥困難等副作用,但是治療成效不錯,早期發現的治癒率甚至高達9成,遠比口腔癌與大腸癌治癒率好,而且有健保給付。工程師與妻子討論後終於決定接受放療,雖然治療過程中,工程師曾因幽閉恐懼症一度拒絕上放療儀,但經醫師給予口服鎮靜藥物後,目前順利接受療程中。

洪雲聰指出,鼻咽癌症狀主要分為四類,1、鼻部症狀,像是鼻涕帶血絲,慢性鼻塞;2、耳部症狀,如聽力障礙、耳鳴等;3、頸部症狀,頸部淋巴結腫大;4、神經受侵犯所引發的頭痛、複視等。鼻咽癌確診方式為:核磁共振、鼻咽切片、抽血(EB病毒抗體)等,一般治療方式以放射治療為主,如有需要則輔以化學治療,較少直接以手術治療;放療結束後需要進行復健以訓練吞嚥功能,但原則上外觀不會有太大改變。

鼻咽癌的成因可能與基因,人種,病毒與飲食有關,一等親有鼻咽癌病史的人,比正常人多4~10倍罹癌機率,而醫學研究顯示台灣、廣東人罹病率高於其他地區民眾,另外血液內有高價EB病毒(即俗稱接吻病毒)的人,罹癌率遠高於一般人,值得注意的是,小於十歲的小朋友如果常吃鹹魚,醃硝製品,長大後較易罹患鼻咽癌。

洪雲聰醫師建議家族中有鼻咽癌病史者,每半年接受鼻咽內視鏡檢查。(圖片來源/彰基體系媒體新聞中心)

洪雲聰醫師提醒民眾,如果家族中有鼻咽癌病史者,建議每半年接受鼻咽內視鏡檢查;民眾如有上述鼻咽癌初期症狀,應盡早至耳鼻喉科就診,以利早期發現、早期治療。

back to top
navbar logo