一名65歲女士,因為身上有一個不規則的脫屑紅色病灶,由於不癢不痛,病人原本不以為意,自行買藥膏擦,但沒有改善,所以至皮膚科門診求診,經皮膚專科醫師評估、切片檢查為皮膚麟狀細胞癌,幸好病灶尚未擴散,透過皮膚外科手術治療後,目前規則追蹤並無大礙。
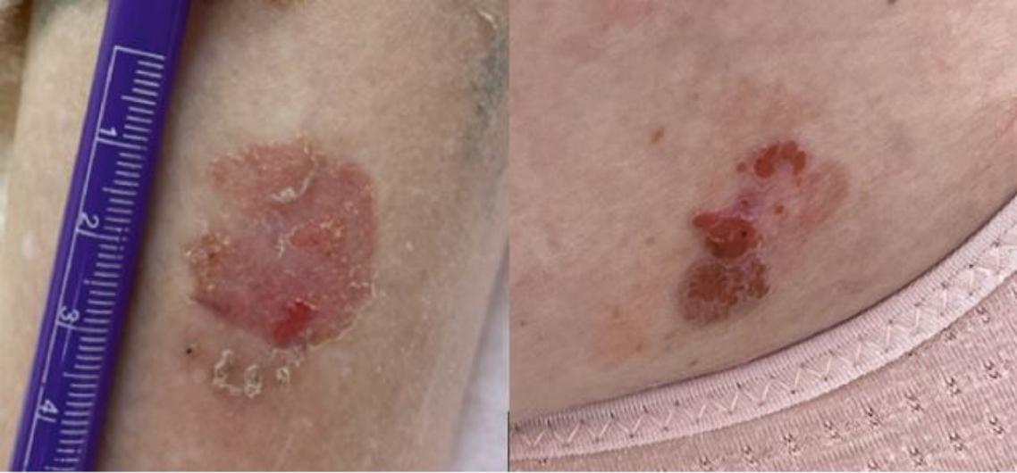
圖為皮膚惡性腫瘤:鱗狀細胞癌(圖片來源/北市聯醫提供)
臺北市立聯合醫院和平婦幼院區皮膚科主治醫師劉康玲說,民眾皮膚若有增生性色素斑塊/腫塊、久未痊癒的慢性紅疹、指甲/趾甲色素變化,請多尋求皮膚專科醫師診療,以利能提早診治皮膚癌性病變。皮膚專科醫師能利用非侵入性的方式或切片手術來診斷治療皮膚、毛髮、指甲、脂肪等問題,包括各種良性及惡性皮膚腫瘤的診斷和治療及疤痕的治療等。切勿自行服用/塗抹不明乳膏、藥物,以免延滯治療黃金期間。
圖為皮膚惡性腫瘤:基底細胞癌(圖片來源/北市聯醫提供)
_0.png)
圖為皮膚惡性腫瘤:黑色素細胞癌(圖片來源/北市聯醫提供)
劉康玲強調,皮膚惡性腫瘤除外觀外,大多沒有明顯症狀(痛/癢/刺),因此容易被忽略。若家中長輩皮膚有色素腫塊/突起、長期未癒合的傷口/皮膚潰瘍、日漸增大的皮膚腫塊等,建議陪同長輩到皮膚科門診就診。
皮膚專科醫師可以從診療、皮膚鏡檢查、皮膚切片檢查等,在確認診斷後,由皮膚外科施行腫瘤移除、皮瓣重建、莫氏顯微手術等,更專業有效的保護您的皮膚。
原文作者為台北市立聯合醫院和平婦幼院區 皮膚科 劉康玲 主治醫師。