頭部外傷後鼻青臉腫...神經外科醫解析「上頷骨骨折」症狀與治療方式

醫療技術

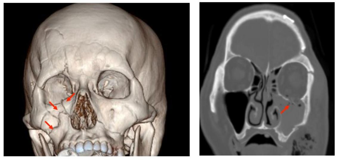
上頷骨為顏面骨中非常重要的一塊骨頭,其他顏面骨與上頷骨皆有相接。由於上頷骨的位置在最容易受撞擊的位置,且上頷骨體結構較薄並有充滿空氣的上頜竇在後,因此頭部外傷經常合併上頷骨的骨折,造成外觀上或功能上的症狀。

上頷骨為何會骨折?

上頷骨骨折受傷機轉主要以外傷為主,特別是受到鈍物撞擊顴骨或眼周。車禍事件、跌倒意外,與運動傷害皆是常見的受傷原因。

上頷骨的位置在哪?

上頷骨之解剖位置特殊,其上部構成下眼眶與眼底骨,支撐眼球與控制眼球運動的眼外肌;內側與鼻骨相接;外側與顴骨形成複合體,也就是從外觀看到顴骨最突出於臉部的部份;下部則為上排齒列附著處。而上頷骨本體後方是與鼻腔相連的上頜竇,中間有眶下孔,是眶下神經的出口。

上頷骨骨折會有什麼症狀?

複視:因為眼球運動的眼外肌受到骨折的空洞或突起影響,造成患者眼球無法順利運動而形成兩眼無法同步所造成的症狀。

中臉部與鼻翼感覺異常或麻痺:上頷骨位於瞳孔下0.5-1公分處的眶下神經為三叉神經的第二個分支,主要功能是負責中臉與鼻翼的感覺。骨折因錯位或碎片皆有可能造成眶下神經的壓迫,產生患側感覺異常或麻痺等症狀。眶下神經為純感覺神經,臨床上少見有運動功能之影響。

上排齒列咬合不穩定:上頷骨的下緣為上排齒列牙根所在位置,骨折可能使其根部不穩定,造成上排齒列在咬合時無法與下排齒列正常接觸。

外觀影響:大部份上頷骨骨折會合併顴骨弓與顴骨上頷骨複合體骨折,在受傷急性期因為軟組織腫脤所以並不明顯;但消腫後外觀上多會呈現塌陷且與對側不對稱之狀況。

流鼻血:上頷骨骨折後,血液會流入上頜竇再由鼻腔流出,造成患者鼻骨沒有骨折但有卻流鼻血的症狀。

上頷骨骨折治療方式為何?

上頷骨骨折若無上述症狀,可以選擇非手術保守治療,待骨自行癒合。但若有上述複視、中臉部與鼻翼感覺異常或麻痺、上排齒列咬合不穩定等症狀,代表骨折有結構有位移,若不進行手術復位,骨頭本身雖然會自行癒合,但癒合的位置未經復位,有很大的可能性會持續造成上述症狀。

若有位移且症狀的上頷骨骨折,建議手術治療。(圖片來源/新光醫院提供)

因此有位移且症狀的骨折建議手術治療,將骨折復位並用鈦合金或聚合物骨釘與骨版固定。手術傷口則視骨折位置,有內開與外開的方法,建議患者再與醫醫師詳細討論。

原文作者為新光醫院整形外科  蔡可威醫師,本文轉載自第389期《新光醫訊》

back to top
navbar logo