膝關節是大小腿骨頭連接的部位,在關節內的骨頭表面包覆著一層以膠原蛋白為主的軟骨,提供潤滑、緩衝的效果。但是長年使用下,可能出現一些刮痕、磨損,這便是所謂的關節退化。
台北市立聯合醫院忠孝院區骨科主治醫師林心畬表示,輕微的磨損注射玻尿酸潤滑即可緩解,但較嚴重的損傷會導致軟骨破裂,有時軟骨會移位,碎片會脫落,形成大問題。關節軟骨出現較大破損時,會有明顯的凹凸不平甚至會剝落形成碎片,活動時容易卡住,也會有突發的無力感,還會發炎腫脹產生關節內積水。休息跟吃消炎藥可暫時緩解,但症狀時常反覆,造成一大困擾,這時就會需要手術介入。
傳統手術需要切開整個關節來移除碎片或修補軟骨,傷口大,復原慢,有時還會遇到手術後沾黏僵硬的後遺症。但是現在內視鏡技術已經普及化,搭配關節專用的內視鏡器械,只需要3個小於1公分的傷口便可完成手術,手術後隔天傷口只會些微腫脹,通常一天內可以恢復獨立下床與走路,住院時間只需2天1夜。
除了修補軟骨及移除碎片,手術中還可以詳細檢查關節內的狀況,若是發現不平整的皺壁或是發炎的滑膜組織也可同時清除,回復關節的順暢度,延長關節的使用年限。

軟骨碎片與發炎滑膜(圖片來源/林心畬醫師提供)

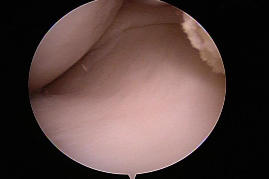
清除乾淨的膝關節腔(圖片來源/林心畬醫師提供)
林心畬說,軟骨碎片與關節磨損互為因果,關節軟骨碎片會導致異常的磨損,進一步損傷健康的軟骨,產生更多軟骨碎片,形成惡性循環。若是軟骨完全磨壞,便只能進行人工關節置換手術。有症狀的患者應及早就醫檢查,以免錯失早期治療的關鍵時機。
原文作者為台北市立聯合醫院忠孝院區 骨科 林心畬 主治醫師。