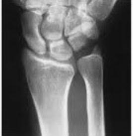
遠端橈骨骨折是最常見的骨折類型之一,約佔所有骨折的十分之一。多發生於跌倒時,手腕本能撐地所承受的衝擊,導致骨折並出現「銀叉變形」(Silver Fork Deformity)。這類骨折是骨科醫師日常最常遇到的狀況之一。
臺北市立聯合醫院陽明院區骨科主任高鈞彥表示,有高達六至八成的患者,骨折同時會伴隨軟組織傷害,如肌腱斷裂、神經損傷、三角纖維軟骨(TFCC)損傷或腕骨韌帶受損。所幸有超過九成的軟組織傷害可自癒,只要治療得宜,大多有良好結果。

遠端橈骨骨折的手術治療,以下情況應考慮手術:
● 粉碎性骨折
● 骨折涉及關節面,且不平整超過2mm
● 希望盡早恢復工作或日常功能
● 難以接受保守治療或潛在功能受限
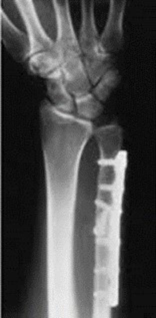
目前標準手術方式為使用「互鎖式鈦合金鋼板」固定,不僅減少螺絲鬆脫風險,對骨質疏鬆者尤其有利,還可縮短固定時間,加快進入復健期,避免關節僵硬。
骨折癒合不良怎麼辦?
若骨折未癒合或癒合不良,常出現橈尺骨長短不一的問題,處理方式有兩種:縮短尺骨(常用)與延長橈骨(較困難),進行骨重建時,可能需搭配人工骨移植,提高癒合成功率,類似植牙前強化骨床的概念。
術後恢復與健保補助
高鈞彥說,若骨折使用互鎖式鋼板固定穩固,可立即啟動手腕活動訓練,不需傳統石膏固定6至8週,甚至一週內即可恢復文書等輕度工作。好消息是,健保已將遠端橈骨與近端肱骨骨折納入骨鬆治療給付範圍(以往僅限脊椎與髖部)。醫師提醒,民眾符合條件者都可與專業醫師討論,個人化的骨質疏鬆治療計畫。



三角纖維軟骨(TFCC)損傷 Q&A
Q:多久會好?
A:輕度撕裂:6~12週。部分撕裂:3~6個月。完全撕裂(手術後):6~12個月。
Q:可以按摩嗎?
A:不建議直接按摩受傷處,但可透過放鬆前臂肌群與熱敷,減輕手腕壓力。
Q:怎麼治療?
A:目前大多數TFCC的治療都以非侵入性的保守治療為主,讓手腕減少工作負荷與適當休息,必要時可穿戴護腕;或以副木暫時固定手腕及前臂於正中位置三到四個星期。進一步可口服消炎止痛藥,或關節內注射治療(如注射類固醇、高濃度血小板血漿PRP)。
Q:一定要開刀嗎?
A:依照損傷程度,三角纖維軟骨複合體(Triangular Fibrocartilage Complex, TFCC)可以行保守治療或是手術治療,每個人適合的治療不同。損傷狀況較嚴重,三角纖維軟骨周圍血液循環不佳,損傷無法獲得營養自行修復,建議施行關節鏡韌帶修補手術。
原文作者為台北市立聯合醫院陽明院區 骨科 高鈞彥 主任