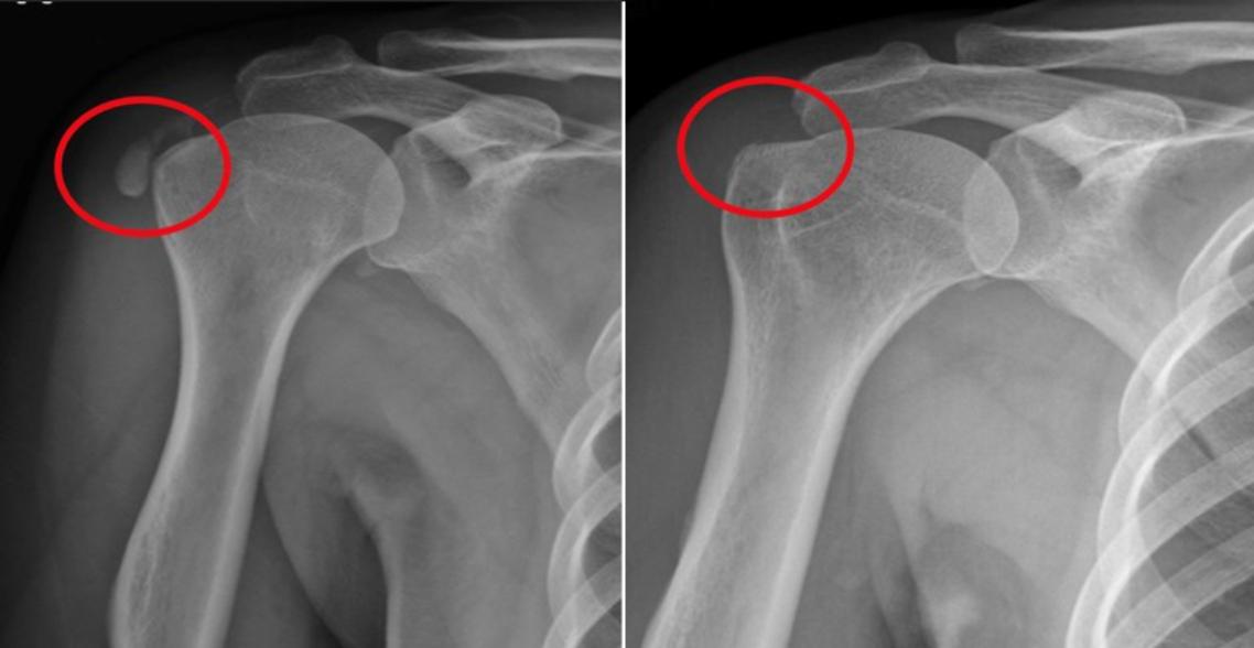
王小姐48歲,在一家貿易公司擔任行政主管。4個月前開始,她開始覺得右肩不適,一開始只是穿脫衣服時感覺卡卡的,後來連夜間睡覺翻身都會痛醒。她先到地方診所求醫,經X光與超音波檢查後診斷為肩旋轉肌腱鈣化性肌腱炎。
在3個月的藥物與復健治療後,症狀時好時壞,仍未見顯著改善。後來她至高雄長庚醫院骨科部運動醫學科求診,由周文毅副教授評估後,透過人工智慧輔助分析系統,確認她屬於體外震波(ESWT)反應良好族群。在給予治療後,3週內疼痛明顯緩解,手臂活動也恢復靈活;大約3個月後,王小姐已能回復正常生活。

周文毅醫師指出,肩鈣化性肌腱炎是造成肩部疼痛的常見病症。根據國外研究,盛行率約為 2.5%至10%,若以台灣人口估算,約58.8萬至235萬人可能受影響。最常見的發生位置為旋轉肌群中的「棘上肌」,而旋轉肌是肩部力量、穩定度與活動度的重要結構。此疾病與退化、內分泌或代謝相關疾病有關,女性盛行率較高,常見於30至60歲之間的族群。雖然體外震波(ESWT)治療已被證實能有效改善此病症症狀,但臨床治療滿意度仍僅約6至7成。
為提升治療精準度與預測準確性,周文毅醫師率領研究團隊,首度結合人工智慧機器學習技術,開發出可預測體外震波(ESWT)療效與負向預後因素的AI模型,開啟「智慧化精準醫療」新里程碑。這項研究分析超過400例肩部鈣化性肌腱炎患者資料,納入性別、年齡、症狀持續時間、鈣化大小與型態、功能與疼痛指數等臨床變數。研究團隊比較多層感知機、朴素貝葉斯、序列最小優化、邏輯回歸與J48決策樹等機器學習演算法,並使用eXtreme Gradient Boosting(XGBoost)模型預測治療後疼痛與功能改善。

周文毅醫師說,結果顯示J48決策樹模型在預測治療後鈣化能否吸收完全之準確率高達89.5%,而XGBoost模型預測治療後疼痛與功能改善之準確率達到90%以上,可作為臨床治療決策前的重要依據。同時,症狀持續時間超過10個月、治療前疼痛指數(VAS)高於5分,以及功能指數(CMS)高於55分的患者,在治療後的改善幅度相對有限。這些發現可協助醫師針對不同患者制定更個人化的治療策略。
周文毅醫師的這項研究成果為全球首篇以人工智慧預測體外震波(ESWT)治療肩鈣化性肌腱炎療效的研究,並分別刊登於2024年國際期刊《Orthopaedic Journal of Sports Medicine》(骨科排名前29%)及2025年《Journal of Shoulder and Elbow Surgery》(骨科排名前20%)。此外,該研究在2025年第十八屆台灣管理學會論文大賞AI應用組中,從超過900篇博士論文中脫穎而出,榮獲博士組特優論文獎,展現長庚醫院在AI智慧醫療與震波治療領域的領先地位。周醫師亦於今年12月4日受邀進總統府,並獲副總統接見勉勵與嘉獎,象徵此研究對國家醫療科技發展之貢獻。


周文毅醫師表示,AI技術的導入能協助醫師在治療前預測療效,讓治療更具科學依據與效率。他提醒民眾,若出現持續肩痛、夜間疼痛或手臂活動受限,應及早就醫診斷與治療,避免拖延,影響生活品質。「早期診斷、精準治療,是恢復生活品質的關鍵。」