肢體感覺麻痺有許多的原因,神經病變中,手指末端的麻痺可能的原因有:多發性神經病變、頸椎退化性神經根病變、尺神經病變以及正中神經病變。其中正中神經在腕隧道壓迫即為俗稱的「腕隧道症候群」。
「腕隧道症候群」知多少?
正中神經沿著上臂內側一路下行走到前臂,負責前臂的肌肉和掌側感覺,而最常見的壓迫處是腕隧道。這個隧道主要由掌骨形成隧道的底部和內外側,橫腕韌帶覆蓋在腕隧道上方,而正中神經與屈肌肌腱位在腕隧道之中。在反覆屈腕的動作下橫腕韌帶可能會肥厚,腕隧道內部的壓力增加而神經會造成腫脹。腕隧道症候群常見的症狀有第一至第三指以及第四指橈側出現痛或麻,尤其在晚上睡覺或是騎摩托車時發生;一開始甩手會感到症狀暫時減輕,但是症狀持續進展時麻痛感會持續並且開始大拇指無力,最嚴重會有肌肉萎縮。
腕隧道症候群較常見於需要反覆使用手部動作的工作者,或是糖尿病、低甲狀腺患者、類風濕性關節炎和懷孕的族群亦較容易有腕隧道症候群。臨床上會用幾個理學檢查來測試是否為腕隧道症候群,例如Tinel’s sign(掌面朝上,輕叩腕隧道看是否有感覺功能異常)和Phalen’s maneuver(雙手手背相對,手腕彎曲90度約三十秒,可重現感覺異常的症狀)。而診斷的黃金標準需要做肌肉神經電學檢查來確定嚴重度。
手麻、腳麻趕緊就醫
當出現麻的症狀時,最好能夠及早就醫。
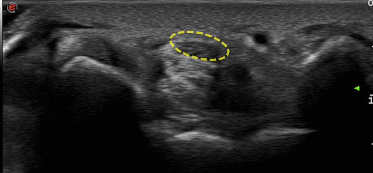
常用的物理儀器治療可以提供症狀一定程度的緩解,但還是會建議搭配手腕副木支架使用並定期追蹤。如果手指麻的症狀沒有改善,甚至進入到無力的狀況時,可能就要考慮更進一步的侵入性治療。可以局部注射類固醇或是在高階超音波影像導引下進行神經解套注射,將正中神經與周圍纏繞的軟組織分離。腕隧道症候群的病人在超音波下常可見腫脹的神經以及上下方壓迫的組織,解套注射即是針對壓迫處,利用注射液將壓迫組織與神經分離。

目前的研究提出低濃度葡萄糖水滲透度接近生理食鹽水較不具刺激性,所以已經逐漸被廣泛使用於神經解套注射。一般神經解套注射治療並非一針見效,通常需要數次注射緩慢地將神經與周圍神經分離。目前神經解套注射治療的研究主要著重在輕度到中度的腕隧道症候群的患者,至於已經屬於較嚴重的腕隧道症候群患者,需要與醫師討論是否接受手術治療。由於每個人的神經壓迫症狀不盡相同,神經解套注射僅為治療選擇之一,詳細治療應依醫師專業評估,考量復健、支架、注射治療以及開刀治療,給予個人化的治療,方能達到最佳效果。

原文作者為新光醫院 復健科 盧怡君醫師,本文轉載自第311期《新光醫訊》