「6月的時候全球已經有用抗IL-6藥物治療武漢肺炎的治療指引,但這個案例我們早在4月初時就率先使用,成效很不錯,並且向國外投稿,不過後來沒有被接受......」台北榮總過敏免疫風濕科主任蔡長祐表示。
武漢肺炎在台灣目前有447例確診、7例死亡,而台北榮總卻讓其中一例有明顯休克及呼吸衰竭、使用到葉克膜的確診老婦人,成功從鬼門關救回。
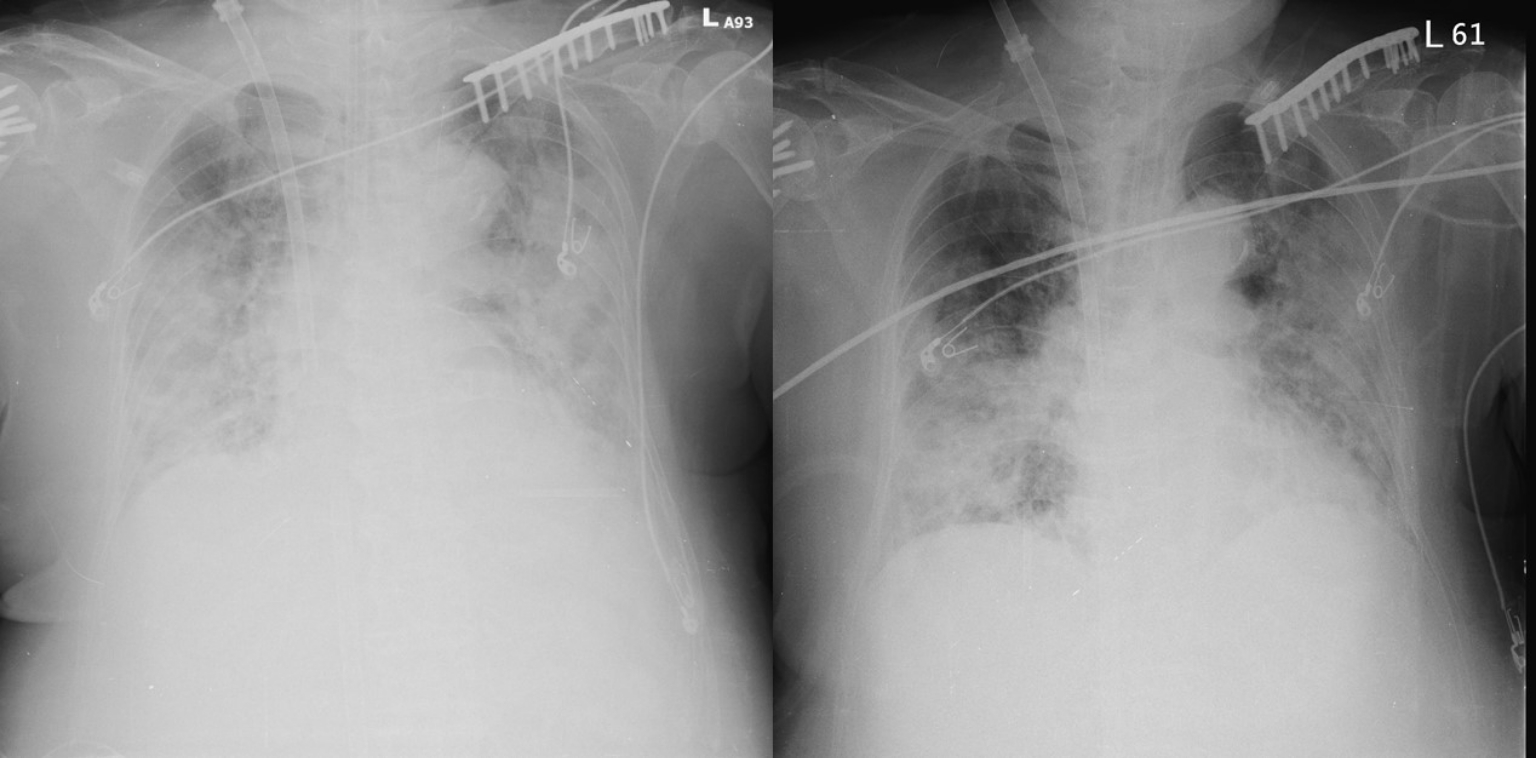
「她從別的醫院轉過來,轉過來的時候情況非常糟糕,要用到葉克膜的程度,情況也非常危急,看了幾次之後大家經過討論,覺得類風溼性關節炎的用藥對抗第六介白質(IL-6)這個生物製劑,可能會對她有效,經過醫院防疫會議討論後,後來院長決定用這個藥來試試看。」除了呼吸器、葉克膜及支持性療法,台北榮總在今年4月給武漢肺炎確診患者使用,抗IL-6藥物治療,「第一針下去後狀況就已經有改善,後來在很快的時間就可以拔管。」
抗IL-6藥物已列入今年6月17日指揮中心所公佈的第7版「新型冠狀病毒(SARS-CoV-2)感染臨床處置暫行指引」,不過當初台北榮總怎麼想到用類風溼性關節炎的藥物來治療新冠肺炎?搭配瑞德西韋使用效果是否會更好?又有哪些患者不適合使用?
重症者靠「這款藥」一天就改善
問到這位老婦人當時的狀況,台北榮總過敏免疫風濕科主治醫師廖顯宗說明,「這個病人之前有使用2-3個禮拜的強效抗生素,因為治療效果不是那麼好,後來一個病毒感染產生身體細胞激素的風暴,影響到心、肺和血壓,在經過討論後使用抗IL-6的抑制劑,用完後發現她的X光在一天內就改善非常多。」
這名病患當時狀況有多嚴重?
蔡長祐用X光解釋,「X光片像底片的負片一樣,密度越濃越硬就會越白,越透光的部分會越黑,所以看到肺部X光片是黑的、大部分是空氣,就像一個海綿,但發炎的時候細胞會跑來這裡會產生水份就會局部水腫,密度就會增加變白,等到整個肺部變白了後表示裡面水份很重、細胞成分很重,是一個嚴重發炎的狀況。」
不過這名病患在使用2-3週抗IL-6藥物後就順利拔管、撤掉葉克膜。廖顯宗解釋,「細胞激素在COVID-19之後的影響是全面性的,(抗IL-6藥物)也可以抑制細胞激素風暴影響的併發症。」
至於是否會有肺纖維化的後遺症?
蔡長祐表示的確會有此現象,「很多發炎反應最後組織會產生修補,修補的現象時纖維母細胞會產生,最後免不了會產生肺纖維化,不管是哪種疾病引起的肺部發炎,即便能治好最後還是多少會產生纖維化。」

國外尚未嘗試相關用藥,北榮已在4月採用
當初怎麼會想到用類風溼性關節炎的藥物來治療新冠肺炎?
蔡長祐解釋,「類風溼性關節炎病人有一部分最後會變成肺部裡面的發炎,是類風溼性關節炎裡面一個重要的合併症。至於其他疾病最明顯的例子,就是以往在國際大藥廠裡面有做一些惡性血癌,有一種叫CAR-T(嵌合抗原受體T细胞,Chimeric Antigen Receptor T Cells)的治療方法,在它的研發過程中因為病人也產生很厲害的細胞激素風暴,所以後來也是使用第六介白質(IL-6)的抑制劑把急性狀況抑制下來。」
蔡長祐指出,抗IL-6藥物主要是用在類風溼性關節炎的病人身上,在台灣用這款藥治療類風溼性關節炎已經列入健保,但要經過專案申請才能使用。「至於細胞激素其實是最近幾年,被發現在發炎反應裡面非常重要的一個項目裡面,不管是新冠肺炎或其他肺炎、免疫系統引起的疾病,在局部肺部細胞浸潤裡面,這些細胞都會產生很厲害的復發炎的細胞激素,其中有一個第六介白質是一個很重要的因子,如果可以把這個細胞激素抑制下來,任何一種發炎所產生的狀況都可以獲得改善。」

搭配瑞德西韋使用效果更好?
現在使用的抗IL-6藥物是針劑還是藥劑?
蔡長祐表示,這名確診病患的藥是以點滴的注射型態治療,「如果一般在門診是使用皮下注射型式比較多,如果患者是住院狀況,會計算他的體重和藥劑濃度,會用點滴的型態。」
廖顯宗補充,這名患者打的劑量是根據體重來算,「那時候是用體重1公斤打8毫克來算,婦人大約70公斤,所以打了560毫克,一天分2次把劑量打完,打完隔天照X光肺部浸潤狀況就改善非常多。」
至於有哪些患者不適合使用?
蔡長祐先指出,細胞激素的產生本來就是身體裡面的保護機制,「因為有細菌進來,需要靠發炎把外侵的這些微生物給殺掉,但這些細胞激素所產生的副作用因為太強,強到不但殺死細菌也破壞身體裡面的組織,所以我們所用的這些藥不論是抗第六介白質或是其他細胞激素的抑制劑,都是來抑制細胞激素的作用,就是一個免疫抑制劑,很多時候都是感染的時候會增加,一般如果病人有感染的話通常是不能使用這個藥。」
「這種藥當初在做藥物實驗時,曾經發現有一些病人腸壁會變比較薄,可能會有穿孔的危險性,這是少數的例子,但曾經有這樣的報告,所以若是曾經有胃潰瘍或是腸道的疾病可能就要小心使用,要在嚴格評估下才能使用這款藥。」蔡長祐強調。
那麼抗IL-6藥物搭配瑞德西韋藥物使用,效果是否會更好?
蔡長祐表示對瑞德西韋並不是很熟悉,所以不敢多評論,但他指出瑞德西韋本身是一個抗病毒藥物,是直接針對病毒,「但這個細胞激素不是針對病毒本身,不過很多疾病最後會死亡的原因不是由原始的病毒所產生的,而是後來產生的發炎反應造成組織嚴重破壞才造成病人死亡,所以跟瑞德西韋可能不是同一件事情。」
蔡長祐也指出,瑞德西韋當時是伊波拉病毒的用藥,「因為伊波拉也是冠狀病毒,但當時瑞德西韋用在這個病毒好像沒有很成功,現在還沒確認這是有效的藥。瑞德西韋跟抗IL-6藥物交互使用效果也許會比較好,但現在都還不知道。」