「平常就已經不夠是因為一般來講是一個人值班on call,哪裡有狀況就去支援哪裡,如果剛好沒有大量傷患那還好,沒出事就沒出事,但今天如果有2、3個重症病人要處理,就分身乏術了。」一名醫學中心呼吸治療師向《信傳媒》透露。
武漢肺炎疫情仍在全球蔓延,這也使得呼吸器是否夠用,成為多場疫情記者會中許多媒體關注的議題,而操作呼吸器的幕後功臣,便屬於「呼吸治療師」。
呼吸治療師(Respiratory Therapist;簡稱RT),顧名思義就是與「呼吸」有關的工作。目前全台約有2,000名具執照的呼吸治療師,其中在醫學中心的治療師僅佔2成,其他分布在各大醫療院所、社區、居家護理所照顧病人的健康。
中央疫情指揮中心指揮官陳時中,在16日記者會中表示目前全台呼吸器是夠的,並會再把有的呼吸器做盤整。疾管署也補充表示,目前全台確診個案中,正在使用呼吸器的重症案有12例。不過,似乎鮮少人關心到操作呼吸器的呼吸治療師,人力是否充裕?
「沒有量化數據...」操作呼吸器需要專業角色
這名呼吸治療師先解釋,呼吸治療師是受過專業訓練的臨床人員,負責管理病患的呼吸,在大部分的醫院中,這些呼吸治療師通常在重症加護病房工作。
那麼操作呼吸器的困難點在哪?
他提到,急重症照護之所以困難,是因為在呼吸道疾病近一步發展和變嚴重的階段,肺部功能不足以為人體提供生存所需的氧氣時,會需要使用到呼吸器。他指出,呼吸治療師透過「氣管內管」,也就是透過一根管子通過聲帶到達患者的肺部,當氣管內管的氣囊充氣之後,就會開始幫肺部通氣。「操作呼吸器是一項高度專業,呼吸治療師必須根據患者身材、血液氣體分析和濃度和其他資訊為呼吸器設定適當的參數,必須由治療師整天觀察呼吸器和患者。」
他還提到,呼吸治療師沒有一個精確量化的數據,告訴他們今天病人的肺發生了什麼事情、需要什麼樣的設定,「這部分還是要回歸到人員的評估,因為一個病人進來不可能是單一疾病,我們就要去拿捏說在他有這麼多疾病的時候,要怎麼去做設定。」另一方面,他提到呼吸器其實就跟車子一樣,廠牌很多種,「在每個設計都不一樣的同時,如果不是熟悉呼吸器的人,他可能不會操作那些機器。」
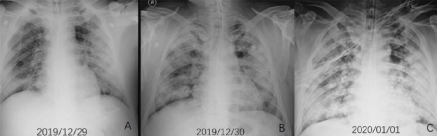
他指出,這次疫情在國外重症的患者身上有發現到出現急性呼吸窘迫症(Acute respiratory distress symdrome,簡稱ARDS),「這表示肺部充滿了很多液體,而且肺部X光的表現很值得注意:整個肺部基本上都是白的。」他提到,ARDS的患者非常難維持氧氣,且ARDS的死亡率也很高、約4成,治療方法正是使用呼吸器,透過外部的壓力將氧氣和血液進行氣體交換。

「在國外新冠肺炎患者,一旦他們開始使用呼吸器,通常就會需要能夠做到最高的設定。大約90%的吸入氧氣濃度(正常空氣是21%)、16cm H2O的PEEP(Positive End Expiratory Pressure,吐氣末正壓,可以讓肺部保持充滿氣體)。」他表示,一般來說氧氣濃度給到60%以上會被視為高濃度,而維持肺泡開啟的吐氣末正壓PEEP在10以上會被視為High PEEP,「這表示這樣的設定是不得不做的選擇,有可能因過高的氧氣濃度產生毒性,或過高的壓力反而造成肺部受損甚至出現氣胸,因此在這樣的設定下需要呼吸治療師頻繁且密切的觀察。」
呼吸器夠了,但「呼吸治療師」人力夠嗎?
目前台灣總共有多少呼吸治療師?主要又分布在哪些地方?人力夠嗎?
他指出,根據統計,目前全台灣約有2,000名具執照的呼吸治療師,其中在醫學中心的治療師僅佔2成,全台的呼吸治療師統計如下:

至於人力是否夠?他表示由於目前衛福部明定:
(1)若醫院聘有之呼吸治療師人數不足以在院輪值3班時,為提供24小時呼吸治療服務,得審酌病人情況,在院外30分鐘可達處所on call。
(2)若醫院自聘之呼吸治療師人數足夠時,則24小時提供服務係指在醫院內值勤。
這名呼吸治療師指出,以醫院大量減少人力成本的現況,有些中小型醫院夜間全院只有一個呼吸治療師,甚至是完全沒有呼吸治療師在院內的情形。「平常就已經不夠是因為一般來講是一個人值班on call,哪裡有狀況就去支援哪裡,如果剛好沒有大量傷患那還好,沒出事就沒出事,但今天如果有2、3個重症病人要處理,就分身乏術了。」
如果武漢肺炎病毒像流感一樣每年發病,以台灣目前呼吸治療師的人力是否夠用?
他表示,在過去這段時間,不管是新聞媒體或是醫療專家們,都關注到一件可怕的事情,「那就是國外嚴重的缺乏呼吸器!呼吸器是一種常見的醫療設備,且對於幫助患有嚴重呼吸道疾病的患者來說是必須的。目前全美的醫院估計約有16萬台呼吸器,其因為人口基數較多,因此覆蓋率較低,但是在台灣呼吸器的覆蓋率其實是美國的12倍,因此在台灣我們反而不太過度恐慌呼吸器不足夠的問題。」
「不過,我們是否具有有能力了解和操作呼吸器的醫療專業人員?」他提到,面對急重症嚴重度高的病患,呼吸器的精細操作是十分困難的,「呼吸治療師是受過專業訓練的臨床人員,需完成大學4年學程,並在醫院經過2年的PGY培訓才能完全了解且熟悉呼吸器的進階操作,如果沒有一組專業人員來操作呼吸器,有那麼多機器也沒有用。」
所以目前人力夠嗎?
他指出,美國每萬人呼吸治療師人數是台灣的6倍,「台灣在呼吸治療師的人力上是遠遠低於國外的,光要達到美國目前治療的人力比,我們還差了6,000名的呼吸治療師,如果今天疫情像歐美這樣爆發,我們會面臨到無法應付的局面。」
國內外呼吸治療師人數的比較如下:

呼吸治療師人力配置,如何「超前部署」?
那麼關於呼吸治療師的人力配置,該如何「超前部署」?
他表示,台灣在這次的防疫十分成功,全國民眾上下一心合作功不可沒,也才能順利避免疫情像歐美一樣爆發開來。「但如果萬一面臨到這樣的情形,我認為我們可以參考美國呼吸治療協會(AARC)的執行長Thomas Kallstrom建議:『醫院可以跟已經退休的呼吸治療師聯繫,請他們回來幫忙,或是協助那些正在執業的治療師照顧其他病人,讓他們可以專心照顧新冠肺炎的患者,現在正在參加呼吸治療師學程的學生也可以採用類似的方式。當然護理師和醫生也可以接受操作呼吸器的訓練,不過他們光進行其他治療就忙的不可開交了。』」
他建議台灣可以選擇召回退休或目前未執業的治療師,協助臨床工作,「呼吸治療師是相對比較不被注意到的一群人,他們承受著極高的風險,需要近距離接觸受感染的患者,很有可能自己因為接觸到患者的痰液或分泌物也被感染到。」他提到,目前有4成的呼吸治療師並沒有選擇走入臨床,最根本的方式還是必須要改善治療師的工作福利以及環境,讓更多呼吸治療師願意投入,才能讓更多人有能力操作這個能夠救命的機器。
日前疫情記者會中,也有媒體問及呼吸治療師召回一事,陳時中表示需要再討論一下,「如果能事先準備,相信也是一件很好的事情。」這名呼吸治療師也建議台灣可以選擇召回退休或目前未執業的治療師,協助臨床工作,但要像國外一樣先修法通過才能執行召回的動作。雖然目前還沒有進一步消息,但呼吸治療師人力配置,肯定是台灣不論是當前或未來需要重視的課題。
更多內容